• Timeliness of vaccination among children attending immunization clinic at a tertiary hospital in South-East Nigeria
  • Diabetes Mellitus and its risk factors among a suburban population of North-western Nigerians; a community-based survey
  • Effectiveness of Glycated Haemoglobin in the Diagnosis of Gestational Diabetes Mellitus among Pregnant Women in Port Harcourt, Nigeria
  • The analysis of human epidermal growth receptor-2 (HER-2) in gastric cancer in a tertiary hospital in Sub-Saharan Africa
  • An unusual case of eosinophilic ascites with pleural effusion - A rare manifestation of eosinophilic gastroenteritis (EGE)

Original Articles

Timeliness of vaccination among children attending immunization clinic at a tertiary hospital in South-East Nigeria

Adanna Anthonia Umeokonkwo, Thecla Chinonyelum Ezeonu , Adaoha Pearl Agu, Chukwuma David Umeokonkwo
Abstract 443 | PDF Downloads 261 | DOI https://doi.org/10.60787/nmj.v62i4.29

Page 153 - 161

DOI: https://doi.org/10.60787/nmj.v62i4.29

Diabetes Mellitus and Its Risk Factors among A Suburban Population Of Northwestern Nigerians; A Community-Based Survey

Mansur Aliyu Ramalan, Raliyatu Aliyu Habibu, Musa Babamaiyaki, Ibrahim Gezawa, Andrew Uloko
Abstract 518 | PDF Downloads 337 | DOI https://doi.org/10.60787/nmj.v62i4.30

Page 162 - 170

DOI: https://doi.org/10.60787/nmj.v62i4.30

Effectiveness of Glycated Haemoglobin in the Diagnosis of Gestational Diabetes Mellitus among Pregnant Women in Port Harcourt, Nigeria

Simeon Chijioke Amadi, Rosemary Nkemdilim Ogu, Ehimen Phyllis Odum, John Dimpka Ojule, Cosmos Ezemonye Enyindah, Henry Arinze Anthony Ugboma
Abstract 374 | PDF Downloads 303 | DOI https://doi.org/10.60787/nmj.v62i4.31

Page 171 - 177

DOI: https://doi.org/10.60787/nmj.v62i4.31

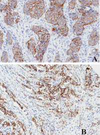
The Analysis of Human Epidermal Growth Receptor-2 (HER-2) in Gastric Cancer In A Tertiary Hospital in Sub-Saharan Africa.

Babatunde Moses Duduyemi , Emmanuel Asante , Mary Yeboah Afihene
Abstract 392 | PDF Downloads 171 | DOI https://doi.org/10.60787/nmj.v62i4.33

Page 178 - 182

DOI: https://doi.org/10.60787/nmj.v62i4.33
DOI: https://doi.org/10.60787/nmj.v62i4.34
DOI: https://doi.org/10.60787/nmj.v62i4.35

Awareness of COVID-19 and the Dental Implications of Its Oral Manifestations among Dental Health Practitioners in Nigeria

Mercy Okoh, Nonso Onyia, Dickson Sopuruchukwu Okoh, Aderonke Adebowun Abah, Uwaila Otakhoigbogie , Happy Adeyinka Adedapo , Elijah Olufemi Oyetola , Ekhosuehi Theophilus Agho, Foluso John Owotade
Abstract 352 | PDF Downloads 194 | DOI https://doi.org/10.60787/nmj.v62i4.36

Page 194 - 200

DOI: https://doi.org/10.60787/nmj.v62i4.36

Pre-Treatment Knowledge And Side-Effects Experienced During Chemotherapy For Breast Cancer In A Nigerian Tertiary Hospital.

Abbas Abdus-Salam, Atara Ntekim, Sharif Folorunso, Ayorinde Folasire, Mutiu Jimoh, Adeniyi Adenipekun
Abstract 577 | PDF Downloads 256 | DOI https://doi.org/10.60787/nmj.v62i4.37

Page 202 - 207

DOI: https://doi.org/10.60787/nmj.v62i4.37

Case reports or Series

DOI: https://doi.org/10.60787/nmj.v62i4.38